FRACTURES EN GOSSOS: EL CAS CLÍNIC VETERINARI DE LLUNA
Barcelona, març de 2017 // En el cas d’avui tenim a Lluna, una gosseta de 8 mesos d’edat que es va presentar a Clínica Veterinària del Mar perquè els seus propietaris en tornar a casa van observar que Luna tenia la zona de l’avantbraç inflamada i coixejava una mica. Els propietaris van decidir contactar amb nosaltres per fer una visita amb el servei d’ortopèdia i amb el traumatòleg especialista perquè creien que Luna podia tenir algun òs trencat.
EXPLORACIÓ
Quan va arribar a la clínica Luna gairebé no es recolzava a l’extremitat i tenia molt dolor a la palpació de la zona de l’avantbraç.
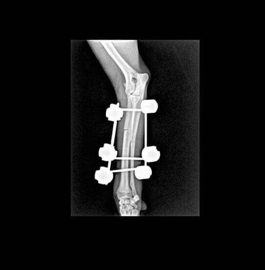
Atès que tot l’examen físic general era normal, li vam realitzar una radiografia. Tal com el propietari s’imaginava, Lluna tenia una fractura a nivell de la diàfisi mitjana del cúbit i el radi (avantbraç).
TRACTAMENT AMB FIXADORS EXTERNS
En aquest cas es va decidir utilitzar uns fixadors externs per donar estabilitat a l’articulació ja que els teixits al voltant de la zona de fractura estaven inflamats i podrien donar problemes de cicatrització si s’hi havia d’incidir per col·locar una placa d’osteosíntesi.
Luna se’n va anar a casa i els propietaris ens van informar que Luna no tenia gairebé dolor en el postoperatori.
En les següents revisions es va observar molt bona evolució i consolidació òssia de la fractura fins que es va decidir retirar els implants perquè Luna ja pogués fer vida normal.
Moltes gràcies als propietaris per confiar en el nostre servei de traumatologia i ortopèdia veterinària.



